乳がんは早期発見で治る病気です。
勇気を出して検査を受けましょう!

今、世界の先進国で急速に増加している乳がんは、日本においても女性の最大の敵といって良いでしょう。人生の盛りを襲う乳がんに対し、私ども北原RDクリニックのスタッフも皆さまと共に立ち向かいます。

他にも女性特有の疾患の検査を取り揃えました。ぜひご覧いただき、お問い合わせ・お申し込みを賜りますよう、お願い申し上げます。

なぜレディースドックが重要なのですか?

近年、日本でも乳がんにかかる女性が増加しています。(日本女性の9人に1人が乳がんにかかると言われています。) しかし、早期に発見して治療を受ければ多くの場合治癒し、再発することなく過ごすことができます。

早期発見のためには、視触診に加え、マンモグラフィや超音波装置などの画像診断が重要です。

「マンモグラフィ」は乳腺のX線検査です。乳がんをはじめ乳房にできる病気をほとんど見つけることができ、しこりとして触れないごく早期の乳がん(微細な石灰化)も発見できます。 X線を使いますが、その量はごくわずかでほとんど危険はありません。

スタッフ一同、みなさまのご来院を心よりお待ち申し上げます。

当院ではマンモグラフィ、超音波検査、医師による視触診が行なえます。

当院のマンモグラフィは、認定読影医師(女性)・認定診療放射線技師(女性)が担当しておりますので、安心して受診していただけます。

当院の検査体制と特徴

マンモグラフィ検査

マンモグラフィ検査は、乳房を挟み圧迫しながら撮影を行う検査です。
乳房を圧迫しながら薄く均一に広げることによって、乳房内をより鮮明に見ることができます。触ってもわからないような早期の小さながんや、非常に小さな石灰化*をみつけることができます。(*石灰化があるからといって必ずしも悪性とは限りません)

乳がんはゆっくりと進み、触診でわかる直径2cmくらいになるまでに約10年かかります。
40代で発見した直径2cmのがんは、30代にはすでに発生しているのです。

マンモグラフィでは、触診ではわからない小さながんを発見できます。

欧米先進国で、乳がんによる死亡率が著しく減少したのは、このマンモグラフィによる早期発見によるところが大きいのです。

早期発見・早期治療のために、40歳からは少なくとも2年に1度のマンモグラフィは必須です!

マンモグラフィによる腫瘤(左)と石灰化(右)

検査機器

当院では、最新鋭のデジタルマンモグラフィ(乳房X線診断)装置
GEヘルスケア製 Senographe Crystal Nova
(セノグラフ クリスタルノヴァ)を設置しています。

この装置は、患者さんができる限り快適な検査を受けられる様に工夫されています。

  • 患者さんの不安や負担を和らげる、やわらかなデザインです。
  • スピーディな画像表示により、短時間で検査が終わります。
  • 質の高い画質で、小病変の描出に威力を発揮します。

また、フラットパネル型デジタルディテクタ採用により、少ないX線量で質の高い画像を撮影する ことができ、高い病変描出能力をもっています。

高い技術力は外部団体の認定を受けています

当院の医師および放射線技師は、NPO法人日本乳がん検診精度管理中央機構による認定試験に合格しております。

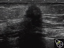
乳腺超音波検査

エコー検査ともいいます。マンモグラフィや視触診と組み合わせて行なわれることが多いです。超音波(人間には聞こえない音)を体に向かって当てて、臓器からの音の反射を画像にして観察する検査です。

痛みを伴わない、しこりは大きくても小さくてもよく検出される、乳腺が発達している若い人にも適している、といった長所があります。

しかし、石灰化はわからないので、マンモグラフィと組み合わせての利用が推奨されます。

その他のレディース検査

オプションとしてご用意しました。

自己採取による子宮頸がん検査

子宮頸部の細胞をご自身で採取していただき、がん細胞が存在するかを顕微鏡で調べる検査です。
自己採取では上手くとれないことがあるため精度が低いと言われており、婦人科での医師による検査が推奨されます。
しかし、手軽に調べられるというメリットがあります。

更年期ホルモン検査

女性は45~50歳になると卵巣機能が衰え、分泌される女性ホルモン量が減少していきます。

この女性ホルモン減少の過渡期を更年期と呼びます。この時期には生理不順や不正出血などの異常が起こりやすくなります。
更年期には個人差があり、早い人では30歳代後半から始まり、遅い人では55歳頃から始まります。

更年期になって女性ホルモンが減少すると脳の下垂体から分泌されるLH(黄体ホルモン)・FSH(卵胞刺激ホルモン)が増加します。 働きが悪くなった卵巣に「もっと働きなさい」と指令する役割をしているからです。

エストラジオール(女性ホルモン)とLH・FSHを測定することによって、その方が更年期である可能性の有無を調べます。 

甲状腺ホルモン検査

更年期には、急にコレステロール値が上がってきたり、全身倦怠感・意欲の低下が起こるなど甲状腺機能低下症とよく似た症状が出てきます。

もともと甲状腺の疾患は女性に多いので、症状だけで更年期とは決め付けず、ホルモン値を調べてみることをお奨めします。

※更年期ホルモン検査、甲状腺ホルモン検査とも少量の採血をするだけで行なえます。

ご利用料金

マンモグラフィ

項目価格(税10%込み)適応とご注意
単独8,800円生理前には、ホルモンの関係で乳房が張って痛むことがあります。マンモグラフィは生理が始まってから2~3日目以降に受けられるのが良いでしょう。なお、豊胸術後の方・妊娠の可能性または妊娠中の方・授乳中の方は、お受けできません。
マンモ+視触診9,900円
マンモ+視触診
(脳ドックオプション価格)
7,700円脳ドック受診の当日又は、脳ドック受診後6か月以内にご利用いただけます

乳腺超音波検査

項目価格(税10%込み)適応とご注意
単独9,900円超音波は乳腺の豊富な若い方にも適していますが、石灰化が写らないので、マンモグラフィとの併用が推奨されます。
超音波+視触診11,000円
超音波+視触診
(脳ドックオプション価格)
8,800円脳ドック受診の当日又は、脳ドック受診後6か月以内にご利用いただけます

マンモグラフィ+超音波検査

項目価格(税込み)適応とご注意
マンモグラフィ+超音波
(視触診つき)
15,400円セットでお得なメニューです。

その他のレディース検査

脳ドックまたはレディースドック受診後、6ヶ月以内にご利用頂けます。

項目価格(税込み)適応とご注意
自己採取による
子宮頸がん検査
3,850円生理中を避け、前日の性行為や腟内洗浄は避けてください。
更年期ホルモン検査7,150円エストラジオールが低下し、LH・FSHが上昇している状態が更年期と判定されますが、必ずしも絶対の基準ではありません。
甲状腺ホルモン検査7,150円甲状腺機能低下症ではFT3・FT4が低下し、TSHが上昇します。また、甲状腺機能亢進症では、FT3・FT4が上昇し、TSHが低下します。

WEB予約・お申し込みについて


レディースドックは月曜~土曜の午後に実施しております。
なお、脳ドックのオプションとして行なう際は、午後に限らず撮影可能です。

マンモグラフィの注意事項、問診票はこちらから印刷できます。