脳ドックご受診の方のみご利用いただけます(受診日より6ヵ月以内)
MRI
脳の検査に続いて行なうため、効率よく気になる部位を調べられます。
頸椎MRI

頸椎椎間板ヘルニア
ひどい肩こり、頭重感があり脳ドックを受けた。脳に異常はなかったが、頸椎にその原因があった。
手のしびれや首や肩のこり、痛みのある方にお勧めします。
腰椎MRI

腰椎椎間板ヘルニア
最近、坐骨神経痛が出現し、詳しい検査を希望。
腰痛、お尻から足にかけてのしびれ、痛みのある方にお勧めします。
骨盤部MRI

子宮筋腫
ひどい生理痛、貧血あり。MRIを撮ると子宮の下方に4cm大の筋腫が見つかった。
MRIは放射線を使用しないので、 これから妊娠を希望される若い女性の方には特にお勧めできます。
CT
短時間で広い範囲を細かく撮影できるCT(MDCT:多検出器型CT)です。小さい病変も見つかりやすく、じっとしていることや息を止めるのが苦手な方にもお奨めです。
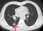
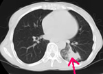
胸部CT
陰になっている部分や小さい病変もよくわかります。
①

②

③

④

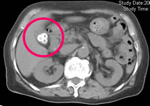
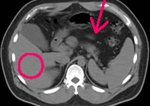
腹部CT
各臓器の形態がよくわかります。内臓脂肪の正確な計測もできます。

胆石
本人は右上腹部にときどき差し込むような痛みを自覚していた。

脂肪肝(○)と内臓脂肪の増加(矢印)
血液検査で中性脂肪が高く、腹囲が85cmを越えている。
内臓脂肪計測(40歳以上の方)

内臓脂肪≧100㎠は危険!



平成20年春から特定検診(=通称メタボ検診)が始まりました。
腹囲が男性85cm、女性 90cmを超えた方は「内臓脂肪蓄積」として要注意と判定されます。
でも、上の図からも判るように腹囲は必ずしも内臓脂肪量を反映しないのです。 自分のお腹の中身を知って、今後の健康管理に役立てましょう!
脂肪には「内臓脂肪」と「皮下脂肪」があります。「内臓脂肪」は、過剰に蓄積すると動脈硬化を進めて脳卒中や心筋梗塞を起こす原因になります。(皮下脂肪優位型の方の動脈硬化リスクは高くありません。)
内臓脂肪の蓄積により「高血圧」「高脂血症」「糖尿病」などの生活習慣病が引き起こされた状態を「メタボリックシンドローム(代謝異常症候群)」と呼び、脳梗塞や心筋梗塞を発症するリスクが約5倍高くなります。
日本肥満学会では、へその位置の内臓脂肪面積が100c㎡を超えた場合を病気としての「肥満症」と判定しています。検査はCTによるへそ断面の撮影で3分ほどで終了します。この機会に一度、自分の動脈硬化リスクを見つめ直してみませんか。
なお、 この検査は、へそをねらってごく少ない照射量で撮影するので、普通のCT撮影に比べてはるかに安全ですが、念のため対象者は40歳以上の方とさせていただきます。 腹部CTをお受けになる際一緒に測定するのが、特にお勧めです。
ご利用料金など
MR・CT
MRI
| 項目 | 価格(税込み) | 気になる症状 | 主な病名 |
|---|---|---|---|
| 頸椎MRI | 11,000円 | 手のしびれ・痛み 首の痛み・肩凝りなど | 頸椎椎間板ヘルニア |
| 腰椎MRI | 14,300円 | 腰の痛み 足のしびれや痛み ぎっくり腰など | 腰椎椎間板ヘルニア 腰部脊柱管狭窄症 |
| 骨盤腔MRI | 15,400円 | 排尿痛・残尿感 排尿障害・腰痛 下腹部痛 | 前立腺癌 膀胱癌 前立腺肥大症など |
| 簡略頸椎MRI&ストレス測定 (骨の変形チェックのみ) | 2,750円 | 肩凝り 日頃のストレス | 変形性頸椎症など |
| 早期アルツハイマー型 認知症診断(VSRAD) | 3,300円 | MRI画像にて海馬傍回(かいばぼうかい)の萎縮を解析します。 (対象50歳以上) | |
| 画像CD-R | 1,650円 | ご希望の方には画像をCD-Rに焼いてお渡しいたします。 ※WindowsVista・※Windows7・※WindowsME・マッキントッシュには対応しておりません。 | |
※MRI検査のご注意
MRIはほとんど無害ですが、ペースメーカーが埋め込まれている方はお受けになれません。 また、体内に金属がある方はお申し出ください。どの検査も15分ほどで終了します。
CT
| 項目 | 価格(税込み) | 気になる症状 | 主な病名 |
|---|---|---|---|
| 胸部CT | 12,100円 | 咳・痰・胸痛など | 肺癌・肺炎・肺気腫など |
| 腹部CT | 9,900円 | 腹痛・下痢・嘔吐など | 肝臓・胆嚢・膵臓などの 癌や炎症。胆石など |
| 骨盤腔CT | 5,500円 | 排尿痛・残尿感など | 前立腺肥大症 膀胱炎・癌など |
| 胸腹部CT | 16,500円 | 胸部CTと腹部CTのセットです。 | |
| 内臓脂肪計測 | 3,850円 | お腹周りが気になる方にお薦めです。 | |
| 画像CD-R | 1,650円 | ご希望の方には画像をCD-Rに焼いてお渡しいたします。 ※WindowsVista・※Windows7・※WindowsME・マッキントッシュには対応しておりません。 | |
※CT検査のご注意
CT検査は微量ですが、放射線を使用するため、40歳以上の方・喫煙者・腹部エコーなどで過去に異常を指摘された方にお勧めの検査です。 数分程度で終了します。
各種腫瘍マーカー
この検査は、血液検査で癌の傾向がわかります。但し、必ずしも癌ではなくても上がったり、癌であっても正常にでることがあります。
| 項目 | 価格(税込み) | 数値の上昇でわかることなど |
|---|---|---|
| PSA(男性のみ) | 2,420円 | 前立腺癌や前立腺肥大症など |
| CEA | 3,410円 | 大腸癌・肺癌や炎症性疾患 |
| CA19-9 | 2,420円 | 膵臓癌・胆管癌や炎症性疾患 |
| AFP | 2,420円 | 肝細胞癌や炎症性疾患 |
| CA125(女性のみ) | 3,410円 | 卵巣癌や子宮内膜症など |
| 男性セット | 6,600円 | PSA+CEA+CA19-9 |
| 女性セット | 6,600円 | CEA+CA19-9+CA125 |
| スクリーニングセット | 7,700円 | 男性:男性セット+AFP 女性:女性セット+AFP |
胃検査
| 項目 | 価格(税込み) | 内容 |
|---|---|---|
| ABC検診 | 5,500円 | 胃がん発症の危険度を血液検査で調べます。 血液検査=ピロリ菌抗体+ペプシノゲン |
| ピロリ菌検査 | 3,850円 | 胃に違和感や痛みのある方。血液検査でピロリ菌に感染していないかを調べます。 |
ホルモン検査
| 項目 | 価格(税込み) | 内容 |
|---|---|---|
| 甲状腺ホルモンチェック | 7,150円 | 甲状腺機能低下症ではFT3・FT4が低下し、TSHが上昇します。また、甲状腺機能亢進症では、FT3・FT4が上昇し、TSHが低下します。 |
| 女性更年期ホルモンチェック | 7,150円 | エストラジオールが低下し、LH・FSHが上昇している状態が更年期と判定されますが、必ずしも絶対の基準ではありません。 |
その他の検査
| 項目 | 価格(税込み) | 内容 |
|---|---|---|
| 肝炎セット(HBs抗原+HCV抗体) | 4,400円 | HBs抗原:B型肝炎 HCV抗体:C型肝炎 |
| 感染症セット | 5,500円 | 肝炎セット+梅毒検査(RPR,TPHA) |
| リウマチ因子 | 1,100円 | リウマチ因子(RF)とは、ヒトのIgGと呼ばれる抗体に対する自己抗体です。 関節リウマチ患者で高頻度で高値(陽性)を示しますが、関節リウマチ以外の膠原病やその他の疾患でも高値(陽性)を示すことがあります。 |
| アレルギー検査(36項目) | 18,700円 | 食物系16項目、呼吸器系19項目、職業系1項目 |
| 便潜血検査(2回法) | 1,100円 | 便に混じった血液を検出することで消化器の病気をみつけることができます。 |
| 体組成チェック | 2,750円 | 体内年齢が解り、筋肉量と体脂肪率による体型判定を行います。 |
| 骨密度 | 2,200円 | 超音波による測定で、骨年齢を判定します。 |
| MCIスクリーニング検査 | 25,300円 | 認知症予防のために、軽度認知障害(MCI)を早期発見する血液検査です。 |
| APOE遺伝子検査 | 19,800円 | アルツハイマー病の発症に関連する遺伝子を調べる血液検査です。 |
| MCIスクリーニング ・APOE遺伝子検査セット | 42,900円 | セットでお得なメニューです。 |
レディース検査
乳がん検査
| 項目 | 価格(税込み) | 内容 |
|---|---|---|
| マンモグラフィ+視触診 | 7,700円 | マンモグラフィは生理が始まってから2~3日目以降に受けられるのが良いでしょう。 |
| 乳腺超音波検査+視触診 | 8,800円 | 超音波は乳腺の豊富な若い方にも適していますが、石灰化が写らないので、マンモグラフィとの併用が推奨されます。 |
| マンモグラフィ+乳腺超音波検査 +視触診 | 15,400円 | セットでお得なメニューです。 |
その他の検査
| 項目 | 価格(税込み) | 内容 |
|---|---|---|
| 子宮頚がん検査(自己採取法) | 3,850円 | 生理中を避け、前日の性行為や腟内洗浄は避けてください。 |
